ORL Toulouse logo ORL ToulouseORL Toulouse
Aller à la navigation principale

Clinique La Croix du Sud Prendre RDV 05 32 02 71 96

Clinique des Cèdres Cornebarrieu Prendre RDV 05 62 13 30 33

Cabinet d’ORL – Colomiers Prendre RDV 05 61 30 17 11
Passer au contenu
  • Accueil
  • Pathlogies
    • Sommeil
    • Thyroïde
      • La glande thyroïde
      • Pathologies thyroïde
      • Parathyroide Hyperparathyroïdie
      • Chirurgie thyroïde
      • Cancer médullaire
      • Cancers de la glande thyroide
      • Aspects génétiques Cancer thyroïde
      • Aspects pratiques en clinique
      • Thyroïde et ambulatoire
    • Pathologies du nez
      • Chirurgie esthétique du nez
      • Rhinoplastie de la valve nasale
      • Aspects pratiques Rhinoplastie
      • Obstruction nasale
      • Rhinite
      • Syndrome du nez vide
      • Rhinoplastie avant-après
      • Fractures du nez
    • Pathologies des sinus
      • Polypose Nasosinusienne
      • Chirurgie des Sinus
      • La dacryo-cysto-rhinostomie
    • Pathologies de l’oreille
      • Otite Chronique
      • Otoscopie
      • Chirurgie de l’otite chronique
      • Chirurgie de la surdité
      • Otoplastie – Chirurgie des oreilles décollées
      • L’audiométrie
      • Les vertiges
      • Acouphènes
    • Pathologie de la voix
    • Pathologie salivaire
    • Les paralysies faciales
  • Chirurgie
    • Base du câne
    • Chirurgie thyroïde
    • Chirurgie esthétique du nez
    • Chirurgie des Sinus
    • Chirurgie de l’otite chronique
    • Chirurgie de la surdité
    • Otoplastie – Chirurgie des oreilles décollées
    • Chirurgie du sommeil
    • Chirurgie cervicale
    • Chirurgie des cancers cutanés
    • Chirurgie ambulatoire/enfant
  • Implants
    • Greffes osseuses et implants dentaires
    • Sinus lift, greffe occlusale et vestibulaire
    • Techniques de reconstruction
    • Diaporama greffes osseuses
      • Greffe osseuse Symphysaire
      • Greffe osseuse Pariétale
      • Greffe osseuse Ramique
  • Cancérologie
    • Anatomie & Histologie cancers ORL
    • Cancer ORL
    • Cancer de la peau
    • Chirurgie des cancers cutanés
    • Cancer du larynx
    • La Radiotherapie
    • La chimiothérapie
    • Surveillance cancérologique
  • Médecine esthétique
  • Sécurité des patients
    • Sécurité post-opératoire
  • Actualités
  • Notre équipe
    • Docteur Corinne Berges
    • Docteur Albert Daoudi
    • Docteur Brune Baudet
    • Docteur Béatrice Daoudi Fillatre
  • Contact
    • Clinique des Cèdres
    • Clinique du Parc

Otoscopie

Accueil » Pathologies » Pathologies de l’oreille » Otoscopie

Otoscopie

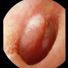
Otoscopie d’un tympan normal

Otite Moyenne Aigüe

Otite Sero-muqueuse

   

Poche de rétraction

   

Cholestéatome

  

Perforations

   

Tumeur glomique

 

Greffe Tympanique

   

Otoscopie d’un tympan normal

Otite Moyenne Aigüe

Otite Sero-muqueuse

Poche de rétraction

Cholestéatome

Perforations

Tumeur glomique

Greffe Tympanique

Plan du site

  • Pathologies
  • Chirurgie
  • Implants
  • Cancérologie
  • Médecine esthétique
  • Sécurité des patients
  • Actualités
  • Notre équipe
  • Contact

Actualités

Clinique La Croix du Sud
Clinique des Cèdres Cornebarrieu
Cabinet d’ORL – Colomiers

Nous contacter

  • Mentions légales
  • Espace Médecins
  • Haut de page
ORL Toulouse - Copyright © 2026 - Hébergement par Tiria
Nous utilisons des cookies pour vous garantir la meilleure expérience sur notre site web. Si vous continuez à utiliser ce site, nous supposerons que vous en êtes satisfait.